Детей не хотят оперировать? Что происходит в РНПЦ травматологии и ортопедии

Рустам Айзатулин

Рустам Айзатулин / Еўрарадыё

— Детей вообще не хотят оперировать и “отфутболивают”. Некоторые родители настаивают на операции уже несколько лет. Их кормят завтраками или отправляют лечиться в больницы по месту жительства…

Доктор Рустам Айзатулин, который до 2020 года работал в РНПЦ травматологии и ортопедии, продолжает общаться с бывшими пациентами. В своих сообщениях они сетуют на то, что после вынужденного отъезда доктора из страны ими в РНПЦ перестали заниматься в полном объёме и по действующим протоколам. И только жалобы в Минздрав иногда заставляют администрацию клиники хоть немного “шевелиться”.

— К сожалению, во многих случаях не помогают даже жалобы, — рассказывает Рустам Айзатулин. — Например, мне пишут пациенты и их близкие, которые столкнулись с такой редкой генетической патологией, как несовершенный остеогенез. По разным данным, на 10-15 тысяч новорождённых как в Беларуси, так и в соседних странах рождается только один ребёнок с таким диагнозом. В Минздраве и в РНПЦ хорошо понимали и понимают, что в такой ситуации волны жалоб, которая бы вывела проблему на республиканский масштаб, не будет — общество не всколыхнётся. Поэтому всем пофиг, и серьёзная проблема, связанная с лечением, просто спустилась на тормоза. В результате пациенты мучаются и не понимают, кто им может помочь.

— В больнице полный дурдом. В прошлом году получила перелом со смещением. Три месяца я мучилась болями и только на третий месяц попала в РНПЦ, — пишет одна из пациенток.

В интервью Еврорадио Рустам Айзатулин, который несколько лет собирал базу пациентов с несовершенным остеогенезом по всей Беларуси, подробно рассказывает об этом заболевании, а также утерянных возможностях, которые могли бы вывести его лечение в нашей стране на достаточно высокий уровень.
 

Частые переломы приводят к тому, что дети выпадают из элементарной социальной жизни, перестают жить так, как должен жить обычный ребёнок

Если очень просто, то несовершенный остеогенез — это тяжелое наследственное заболевание, основным проявлением которого является нарушение структуры и прочности костей, приводящее к их частым переломам.

Детей не хотят оперировать? Что происходит в РНПЦ травматологии и ортопедии
Белорусские врачи протестуют / "Белые халаты"

Но потом случились события 2020 года и всё встало 

На данный момент есть готовые экземпляры, но до выхода в жизнь им ещё очень далеко. Ещё долгая процедура регистрации, оформления документации, доработок после того, как ортопед их подержит в руках.
После увольнения из РНПЦ я уехал из Беларуси, но мои пациенты продолжали и продолжают мне писать.

Недавно, когда я узнал от них, что никакой централизованной помощи больше нет, то был очень удивлён. Я искренне надеялся на то, что все наши начинания не прошли даром и врачи дальше работают по протоколам. Оказалось, что нет. 
Пациенты разбросаны по всей Беларуси, интрамедуллярного стержня, на разработку которого потрачены деньги и время, нет. Пациентов практически никто централизованно не контролирует, а в РНПЦ их не хотят госпитализировать по каким-то вообще неясным причинам. 

После того как мне об этом сообщили, я связался ещё с несколькими пациентами, которые рассказали, что из РНПЦ их отправляют на “лечение” по месту жительства (это может быть Брест, Могилев, Жабинка…), мол, у вас “там такая же” больница — вот на месте и разберутся.

Понимаете, им отказывают в госпитализации! Они пишут письма в Минздрав, спрашивают, почему раньше они могли рассчитывать на централизованную помощь, а теперь им отказывают. В Минздраве отвечают, что — да, помощь может быть оказана по месту жительства, также им могут быть установлены импланты, существующие в Республике Беларусь.

То есть мы возвращаемся к тому, что им предлагают на их переломы и деформации устанавливать обычные пластины, которые в цивилизованных странах в таких случаях уже не используют, потому что существуют современные методики, которые позволяют детям дальше жить, передвигаться, учиться, социализироваться. А в Беларуси Минздрав предлагает им лечиться тем, что у нас есть, и отказывают в госпитализации. 

Да, положить гипс можно в любой больнице. На этот перелом положить пластину тоже можно. Но открывая перелом ребёнка с такой патологией и устанавливая туда пластину, мы обрекаем его на дальнейшие деформации и переломы, причём более тяжелые.

Возможно, в будущем у такого пациента и появится возможность установить современную конструкцию, те же штифты. Но итоги такой операции будут уже совсем не такими, как если бы его лечили сразу по протоколам.
Кстати, когда я ещё работал, конструкции, которые растут вместе с человеком, можно было заказать через платный отдел и комиссию по этике. Такая возможность осталась и сейчас, но это всё очень долго.

Их доставляли из ЕС или России, и детям эти стержни устанавливались. 


Заграница поможет, но есть нюансы

Что посоветовать пациентам, которые не могут добиться помощи в РНПЦ, я не знаю. С одной стороны, что-то и идёт вперёд, но до идеала ещё настолько далеко, что просто страшно. Можно, конечно, заказывать современные конструкции за границей или отправляться за границу на операцию, но всё это, конечно, недёшево. Есть и другие нюансы.

Детей не хотят оперировать? Что происходит в РНПЦ травматологии и ортопедии
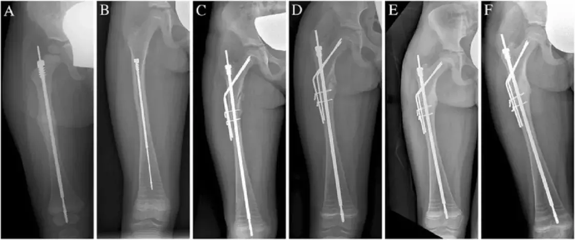
Рентгенограмма правой бедренной кости, на которой виден стержень Fassier-Duval / researchgate.net

Так, а что там с отечественными “Fassier-Duval”?

Пациентам такой вариант не предлагают и не будут предлагать ещё очень долго. Прототип есть, но почему дело не движется далее — мне непонятно. Да, это очень технологическое изделие, и просто копия запатентованного изделия тоже подошла бы. 

Я видел креативность и полёт мысли в изделиях из Китая, России, но выглядело это не очень качественно. Я видел много “реплик” известных медицинских имплантатов и могу сказать, что первое изделие может очень сильно отличаться от конечного продукта. 

Это годы научных работ, это десятки тысяч операций, это ошибки, доработки и большая вариабельность конструкции. Как будет у нас — пока неизвестно, но хочется надеяться, что это не будет как с белорусскими протезами, у которых поджимали сроки и планы и их просто ради написания отчёта установили нескольким пациентам.

Более того, ещё работая в Минске, я разговаривал с украинскими коллегами, которые разрабатывали свои стержни для бедра и для голени.

Они приезжали ко мне в Минск — мы договорились о сотрудничестве. И я уже со всеми документами и их наработками пытался договориться со своим руководством о том, чтобы они приехали и нам всё показали. 

Украинские врачи готовы были приехать и бесплатно научить наших, как проводить операции с их стержнями. Но никому это не было интересно. Я объяснял нашему руководству, что есть целый пласт научной работы, который можно продолжить и на котором можно сделать имя нашему РНПЦ. Написал целый документ, где обосновал не только медицинскую сторону проблемы, но и экономическую выгодность. Звучит очень смешно и грустно, но все научные работы и попытки что-то внедрить в Беларуси должны быть обоснованы экономически.

Я подходил к своему научному сотруднику-профессору и пытался достучаться до него, на что получил ответ, что это вообще не нужно, не актуально, всё долго и не понятно, чем закончится. Если хочешь — занимайся сам, но мы этим заниматься не будем. У нас есть и более выгодные темы, на которые можно получить финансирование. Так и получилось.

Скажу больше, я через свои личные контакты уговорил один из РНПЦ в России, который занимается данной патологией, написать программу обучения для врачей по хирургическому лечению и установки данных стержней. Они готовы были пригласить нас на учёбу. Но прошли годы — и ничего особо не меняется.

К сожалению, у нас так обстоят дела не только с несовершенным остеогенезом, а со всей генетической помощью в Беларуси. Людям приходится адаптироваться к той системе, которая есть. И ещё, к сожалению, очень много фондов и других организаций, которые занимались помощью детям с генетическими патологиями, с Беларусью уже не работают. Поэтому и помогать нашим пациентам особо некому.

Чтобы следить за важными новостями, подпишитесь на канал Еврорадио в Telegram.

Мы каждый день публикуем видео о жизни в Беларуси на Youtube-канале. Подписаться можно тут.